Dr. Jeffrey S. Karlin, P.A.

East Brunswick
17 Brunswick Woods Drr
East Brunswick, NJ 08816
(732) 238-1110

Manalapan
345 Union Hill Rd, Suite 2Gr
Manalapan, NJ 07726
(732) 972-1345

Before & After Gallery

The photos below are actual patients of Dr. Karlin.

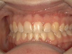
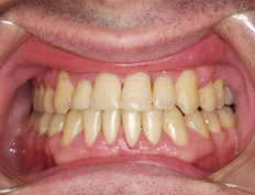
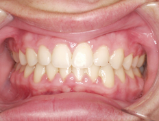
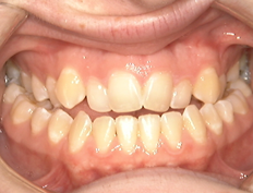
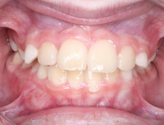
  • before after

    Before

    After

    Deep overbite
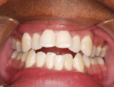
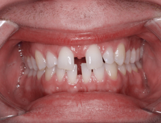
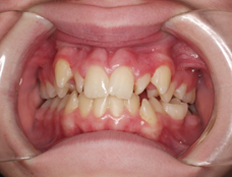
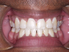
  • before after

    Before

    After

    Underbite, treated without surgery
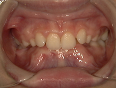
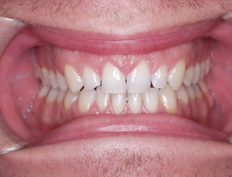
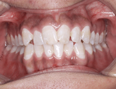
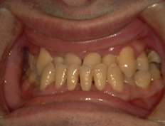
  • before after

    Before

    After

    Impacted tooth
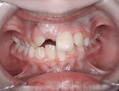
  • before after

    Before

    After

    Invisalign
  • before after

    Before

    After

    Surgical orthodontics
  • before after

    Before

    After

    Posterior crossbite, early treatment
  • before after

    Before

    After

    Open bite
  • before after

    Before

    After

    Spacing
  • before after

    Before

    After

    Missing teeth/implants
  • before after

    Before

    After

    Severe crowding, treated without extractions

Back to top